Челябинские врачи спасли подростка с застрявшей в пищеводе крышкой

2024-10-31 Челябинские Новости

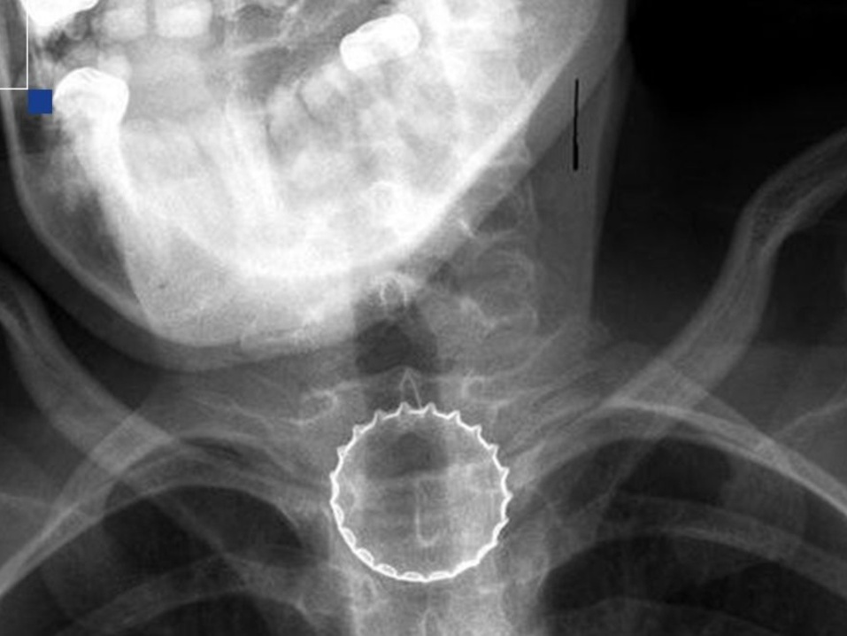
В Челябинске подростку удалось спасти жизнь благодаря операции по удалению застрявшей в пищеводе металлической крышки от бутылки.

В Челябинске произошло случайное происшествие, которое могло стать фатальным для 16-летнего подростка. Во время игры с металлической крышкой от бутылки, мальчик неосторожно подбросил ее и она застряла в его пищеводе, полностью перекрывая его. Пострадавший сразу же обратился за помощью в экстренное приемное отделение Челябинской областной клинической больницы (ЧОДКБ).

Ситуация требовала немедленного вмешательства, и врачи отправили мальчика на операционный стол. Благодаря использованию видеоэндоскопического оборудования врачам удалось без повреждения внутренних органов достать крышку. Операция прошла успешно, и мальчику провели контрольное обследование, подтвердив, что его слизистая оболочка не пострадала.

Инородные предметы, попавшие в желудок или пищевод, могут иметь серьезные последствия, поэтому врачи рекомендуют детям и родителям быть предельно осторожными при обращении с мелкими предметами. В данном случае, мальчику удалось избежать серьезных проблем, но врачи предупреждают об опасности таких ситуаций и призывают к осторожности.



Челябинские Новости
Ростехнадзор снял ограничения и Южуралзолото возобновило горные работы на Светлинском карьере после устранения нарушений.
Челябинские Новости
Туристы в аэропорту Челябинска могут оставить памятный оттиск в паспорте путешественника.
Челябинские Новости
В мире автомобилей роскоши цена зачастую говорит не только о статусе, но и о безупречном сочетании инженерного искусства, передовых технологий и уникального дизайна. Самые дорогие автомобили — это не просто средство передвижения, а настоящие произведения искусства на колёсах.
Челябинские Новости
46-летний мужчина не выходит на связь уже месяц, его друзья и семья продолжают поиски.
Челябинские Новости
Жительница Челябинской области ворвалась в квартиру пенсионерки в Пензе и похитила 120 тысяч рублей, представившись сотрудницей газовой службы.
Челябинские Новости
Краткое описание: Экономика страны продолжает показывать положительные результаты с ростом в третьем квартале 2021 года.
Челябинские Новости
Три друга из Челябинска создали бренд одежды с мужской философией. Они рассказали, как пришла идея производить вещи в духе промышленного города. Бренд «Воплоти» стал популярным и выпускает одежду с промышленной стилистикой.
Челябинские Новости
Программа «Начни свое дело» в Челябинске предлагает гранты до 200 тыс. рублей социальным проектам, чтобы создать комфортную жизнь в городе.
Челябинские Новости
Новый глава администрации Ленинского района Челябинска официально вступила в должность.
Челябинские Новости
В родильном доме Челябинска внедрена новая методика послеоперационного обезболивания женщин, родивших с помощью кесарева сечения, что позволяет им восстановиться быстрее.
Челябинские Новости
Заместителя главного врача обвиняют в получении взятки за поставку оборудования, которое не соответствовало договору.
Челябинские Новости
Шесть мертвых деревьев исчезнут с привокзальной площади, уступая место новому облику.
Челябинские Новости
Мужчина, перевоплощающийся в Ирину Аллегрову, стал объектом судебного иска от певицы.
Челябинские Новости
Россельхознадзор обнаружил зараженные фрукты и овощи в Челябинской области
Челябинские Новости
Жители Челябинской области активно оформляют машиноместа, но не всё так просто.
Челябинские Новости
В Челябинске в полном разгаре проходят работы по асфальтированию проездов во дворах и межквартальных проездов. Благодаря проекту губернатора "Дорожный рывок", к 2024 году будет обновлено рекордное количество дорог и тротуаров внутри городских кварталов.
Челябинские Новости
Ученые ЧелГУ разработали новую теорию дробного исчисления, которая поможет промышленности точнее описывать процессы с «эффектом памяти» и повысить эффективность производства.
Челябинские Новости
Прокуратура Металлургического района проконтролирует устранение коммунальной аварии около школы на улице Комаровского.
Челябинские Новости
В Челябинске подростку удалось спасти жизнь благодаря операции по удалению застрявшей в пищеводе металлической крышки от бутылки.
Челябинские Новости
Огонь от загоревшегося тополиного пуха в Челябинске приблизился к обмотке теплотрассы и голубятне, но благодаря быстрой реакции пожарных животные не пострадали.
АПЛ Вести
© 2024 Челябинские Новости
Новости, события, афиша мероприятий, погода
Политика, экономика, социальная жизнь